These cover the front teeth and can significantly improve the appearance of your teeth and smile.
A combination of lifestyle and personal factors can result in teeth showing various faults or blemishes over the years. Your dentist (We) can offer a variety of modern treatments to improve the appearance of your teeth and smile.
Veneers are thin tooth-coloured porcelain shells carefully crafted to bond and cover front of unsightly teeth. They are more conservative treatment than a crown. Veneers are excellent for treating chipped, discoloured, slightly misaligned or misshapen teeth or gaps between teeth, especially if these teeth affect the front teeth.
The care of veneers
Caring for your veneers will ensure that they last longer. Regular checks with the dentist are recommended.
Excessive chewing or bitting, especially on food like hard lollies, ice & bone may break the porcelain. Avoid holding other hard objects in your teeth such as nails or bottle tops.
Ceramic Veneers
Brooke had a single crown on the upper left central incisor that had a receding gum line.
Some of the white fillings on other front teeth were also stained. Deb decided to have the crown replaced and ceramic veneers placed on other teeth. The new crown on the upper left central incisor is all ceramic (without any metal on the inside) and blends in more naturally with the veneers.


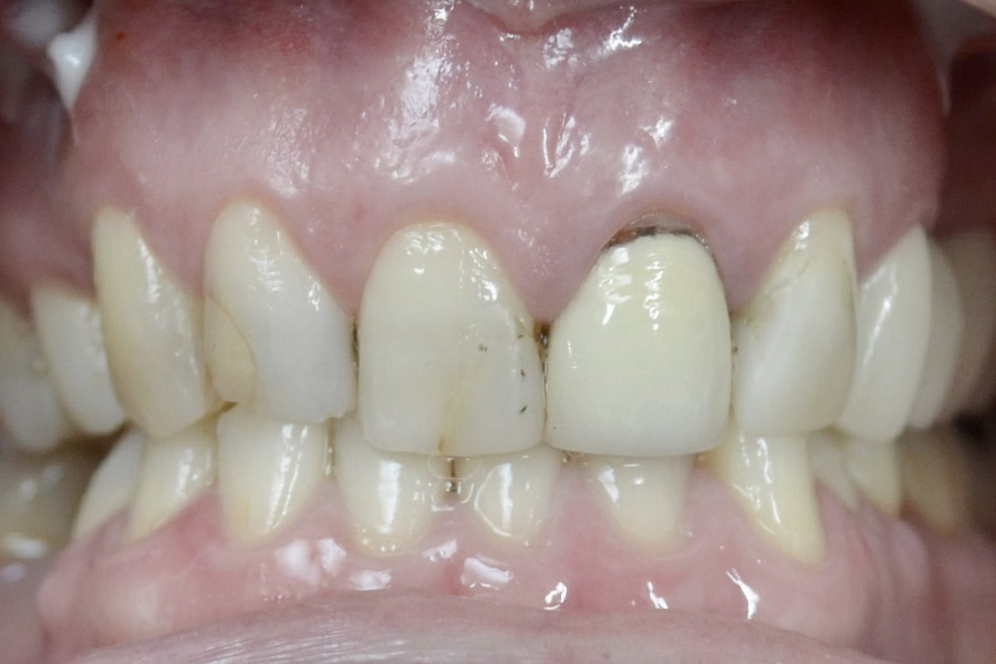
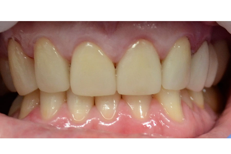
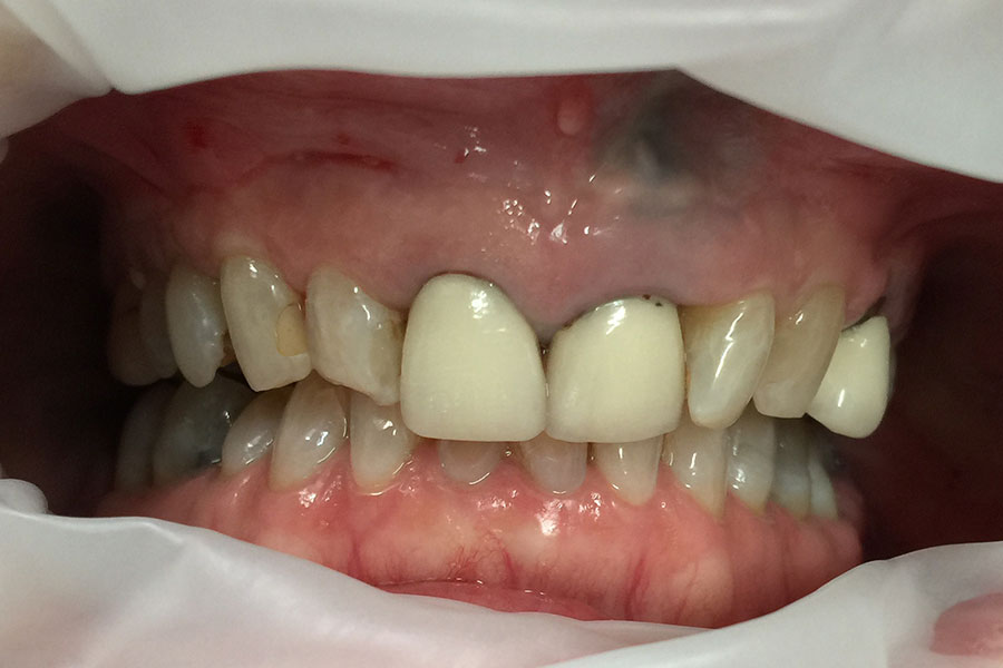
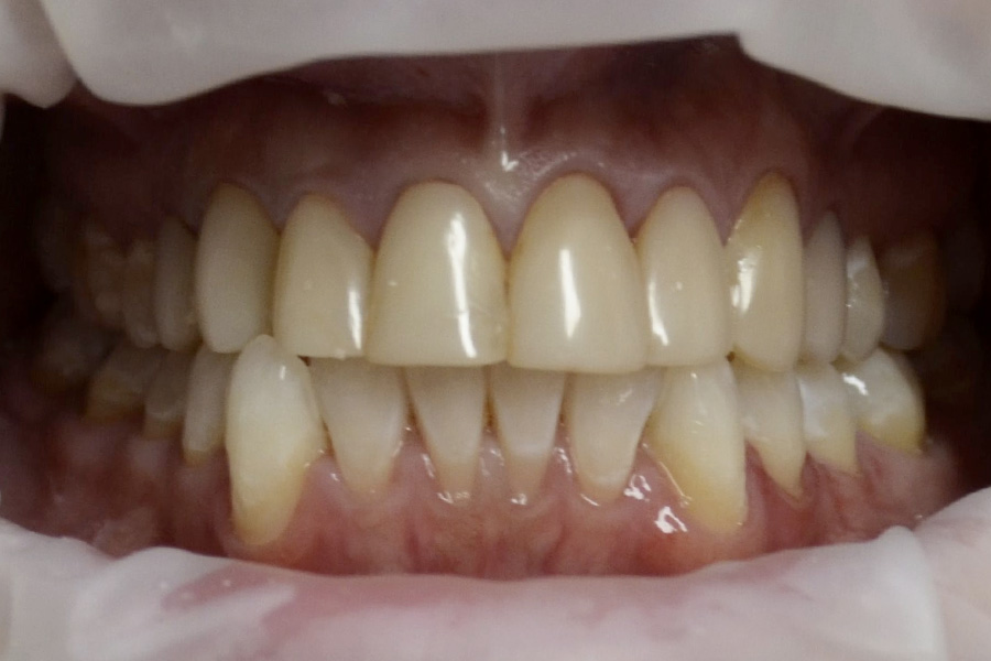
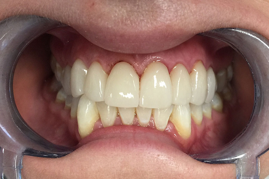
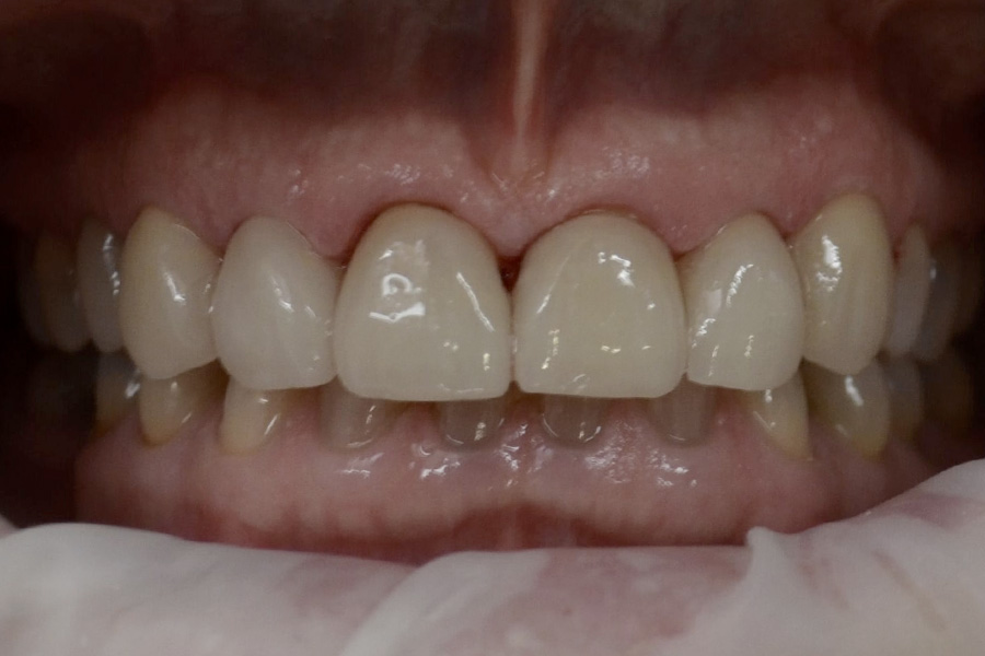
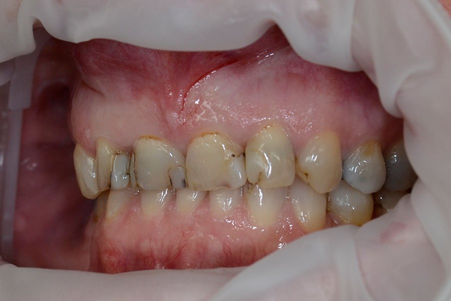
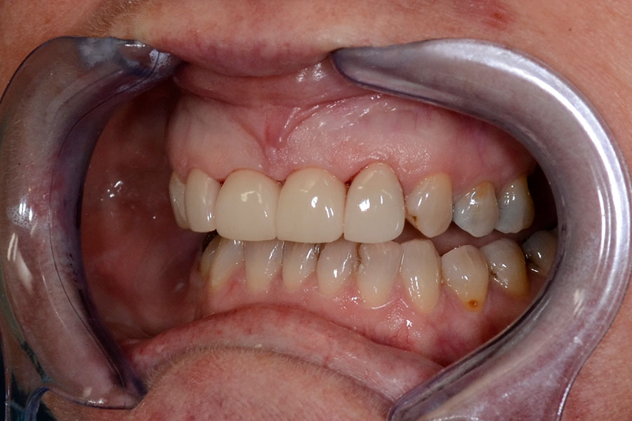
Christine had a crown on a root canal treated upper right central incisor that had a receding gum line.
Some of the white fillings on other front teeth were also stained. Pauline decided to have the crown replaced and ceramic veneers placed on other three adjacent teeth. The new crown is all ceramic and blends in more naturally with the veneers.


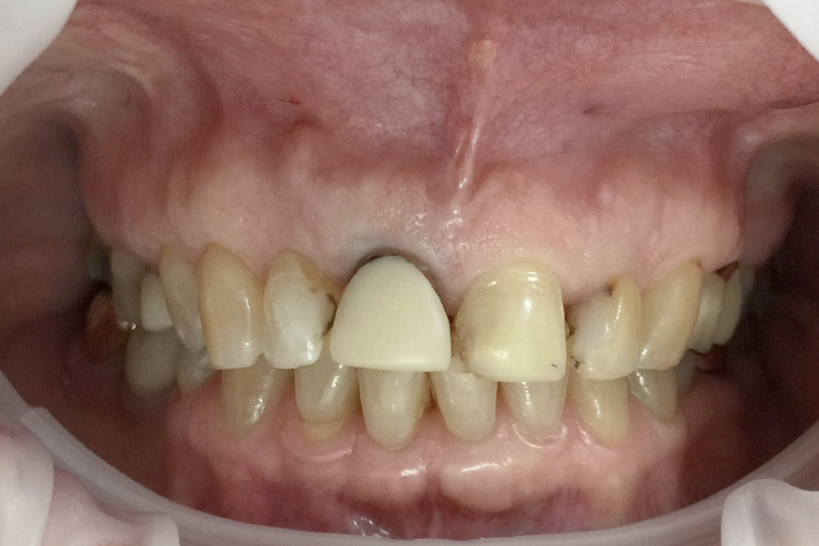
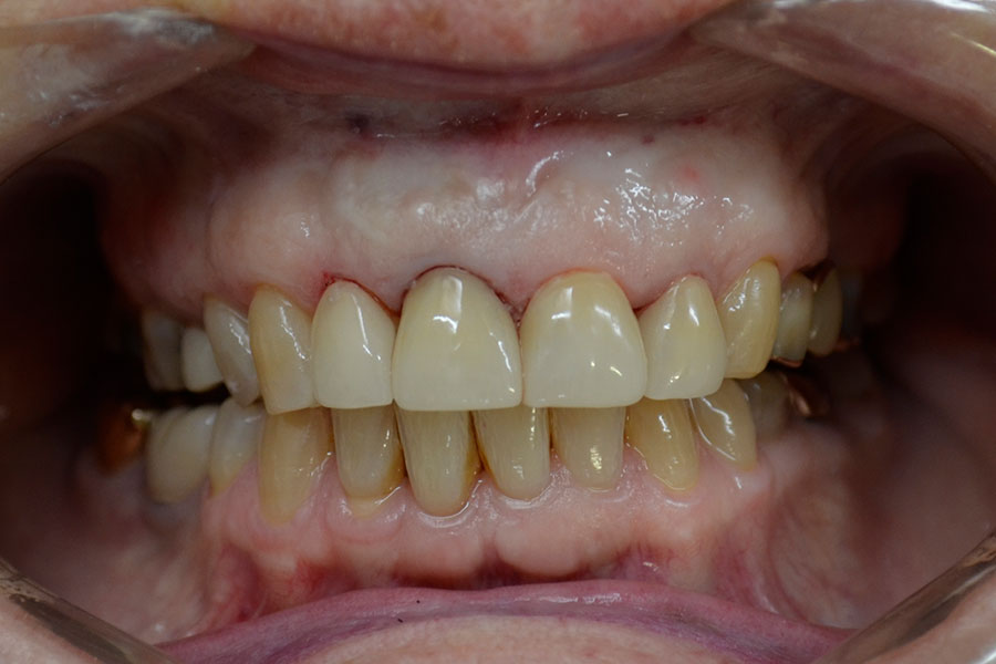
Abbey developed an abscess in the upper left central incisor. She complained that the other crown appeared too opaque and some of the white. fillings on other front teeth were also stained.
The upper left central incisor was removed and replaced with an all ceramic bridge. Other front teeth received crowns and veneers The new bridge and crown on the central incisors are all ceramic (without any metal on the inside) and blend in more naturally with the veneers.


Composite Veneers
Kim had upper lateral incisors that were small and pointy.
She wished to improve their appearence in a cost effective manner. Composite veneers were placed in a single visit to acheive a more idealistic shape and contour for these teeth.


Replacing Composite Veneers
The following cases had Composite veneers for a few years.
They decided to have them replaced with ceramic veneers as the composite veneers appeared dull and required frequent repair. Minor correction of alignment was also performed while making ceramic veneers.
Lisa


Claire


Replacing Unesthetic Fillings
The following cases had stained and failing white fillings. Interestingly one person even had very old gold inlays in their front teeth.
They were replaced with esthetic ceramic veneers. As seen in these images changes to shape and size within limits can also be achieved along with the color.
Beth


Sue

