Dental implants are jawbone inserts that mimic tooth root and support a crown to replace a missing tooth.
Nic lost two front teeth while playing football about 40 years ago.
He wore a removable metal partial denture. These teeth were finally restored with two dental implants to support the teeth individually.


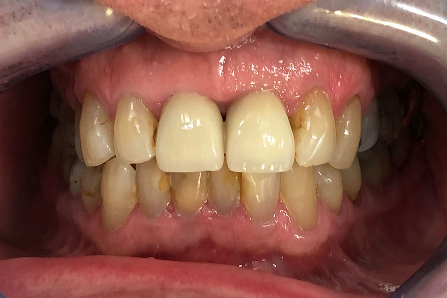
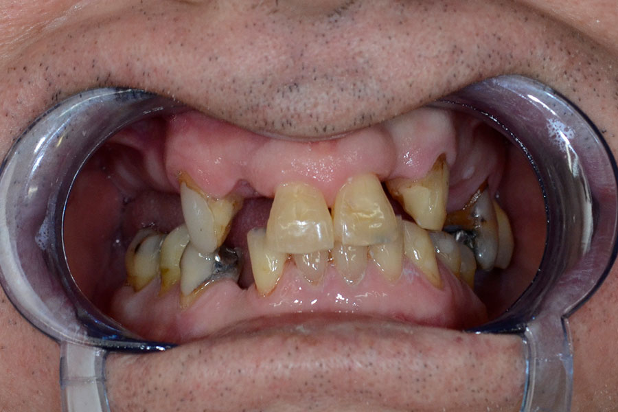
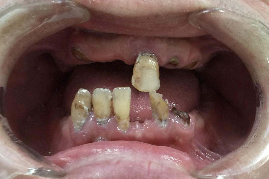
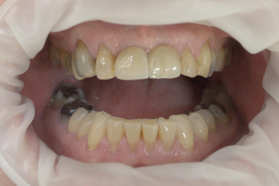
Phil was wearing a removable partial denture for many years.
As he lost some more teeth the pasrtial denture became less stable. Chris finally decided to have dental implants his missing teeth.
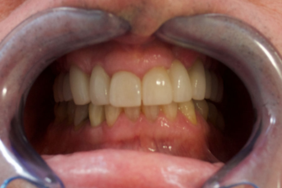
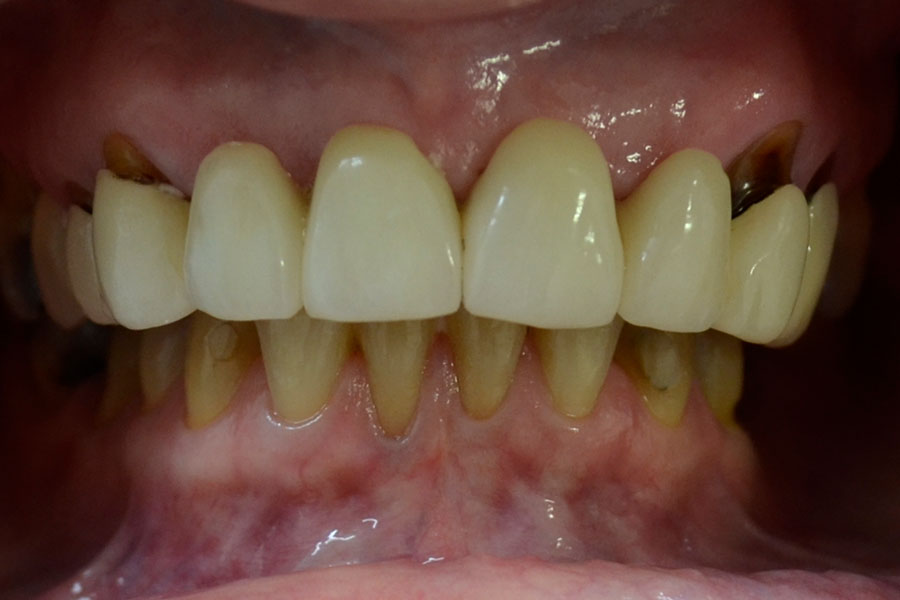
Two implants were utilised to support a bridge where there were three missing teeth in a row. His existing natural teeth received crowns and veneers as reinforcements and also to match the highly esthetic implant crowns and bridges.


Simone has had a long span bridge to replace her missing four front teeth for over 30 years.
The admits that she never smiled confidently as the teeth did not look natural. The two teeth supporting the bridge on either side wore off around the gums due to the excessive stress from the long span bridge.
The bridge was removed and the four missing teeth in the middle were replaced with the support of two dental implants. The worn out supporting teeth were restored with individual crowns. It seems obvious that Jenni is quite confident with her new smile.


Emmerson’s remaining teeth had to be removed due to poor prognosis. He could not tolerate a conventional denture due to a hyperactive gag reflex.
The lower teeth were replaced utilising a All-on-Four technique. A fixed bridge of teeth was placed over four dental implants. In the upper jaw due to the limited availability of bone a removable over denture was made supported by four implants.


Maddison lost her upper right incsor due to an abscess.
The missing tooth was then replaced using a dental implant.


Andrew lost two front teeth while playing football about 40 years ago.
He wore a removable metal partial denture. These teeth were finally restored with two dental implants to support the teeth individually.

